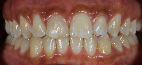
What cosmetic dental service do I need to close the spacing between my teeth?
Common question I hear when a client presents to me for correcting a diastema.
di·a·ste·ma/ˌdīəˈstēmə/noun
- a gap between the teeth, in particular.
- ZOOLOGYa space separating teeth of different functions, especially that between the biting teeth (incisors and canines) and grinding teeth (premolars and molars) in rodents and ungulates.noun: diastema; plural noun: diastemata
- a gap between a person’s two upper front teeth.


The first thing to do is to look at the height and width of your teeth.
Are your teeth the right shape for your face? If so, then clear aligners, like ClearCorrect is the service you need. On the other hand, if the shape of your teeth does not fit your face, or the teeth are undersized, then you may need one or both of the following services.

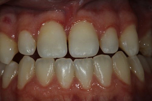
Sometimes you need clear aligners and porcelain veneers to get the esthetic result you are looking for.
With teeth that are undersized, over-sized, or chipped; even if moved into the right position you will need porcelain veneers.


As an alternative to porcelain veneers, you can consider composite veneers.