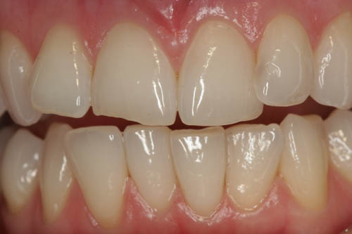
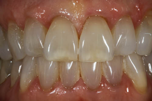
Porcelain veneers are a thin layer of porcelain or composite resin bonded to your teeth. Veneers are shaped and colored a certain way to change the appearance of your smile. The two types of materials used; porcelain and composite each have there advantages and disadvantages. In most circumstances your natural tooth is modified by drilling and the veneer is bonded to the tooth. However, sometimes it may not be necessary to alter the surface of your tooth.
Veneers were invented by California dentist Charles Pincus in 1928 to be used for a film shoot for temporarily changing the appearance of actors’ teeth. Later, in 1937 he fabricated acrylic veneers to be retained by denture adhesive, which were only cemented temporarily because there was very little adhesion.Veneer (dentistry) – Wikipedia
https://en.wikipedia.org › wiki › Veneer_(dentistry)
Hence the saying; “Hollywood Smile”

Porcelain veneers are the treatment of choice when orthodontics cannot obtain the result you are looking for. The first thing I consider is, “If I move the teeth in the right position can I create a beautiful smile and address the concerns of my client?” If the answer is yes, then orthodontics is my treatment choice.

Dental veneers are the treatment of choice when teeth whitening cannot obtain the result you are looking for. An example would be deep staining due to tetracycline.

Porcelain veneers can help you get back the smile you had, or can enhance your smile when nature falls short. Porcelain veneers can replicate nature by reflecting light just the right way to give a natural appearance , create shapes and shades the are custom designed to suit your face, follow the contours of your lips, even express your personality. Porcelain veneers will give you a long lasting smile. SMILEWELL
